Smile

Gallery

Your dream smile is within reach. Browse through our gallery of actual patient transformations to see how our award-winning orthodontists create beautiful, healthy smiles for patients of all ages.

banner Image

Discover What's Possible

Before Image
After Image

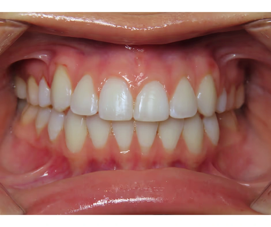
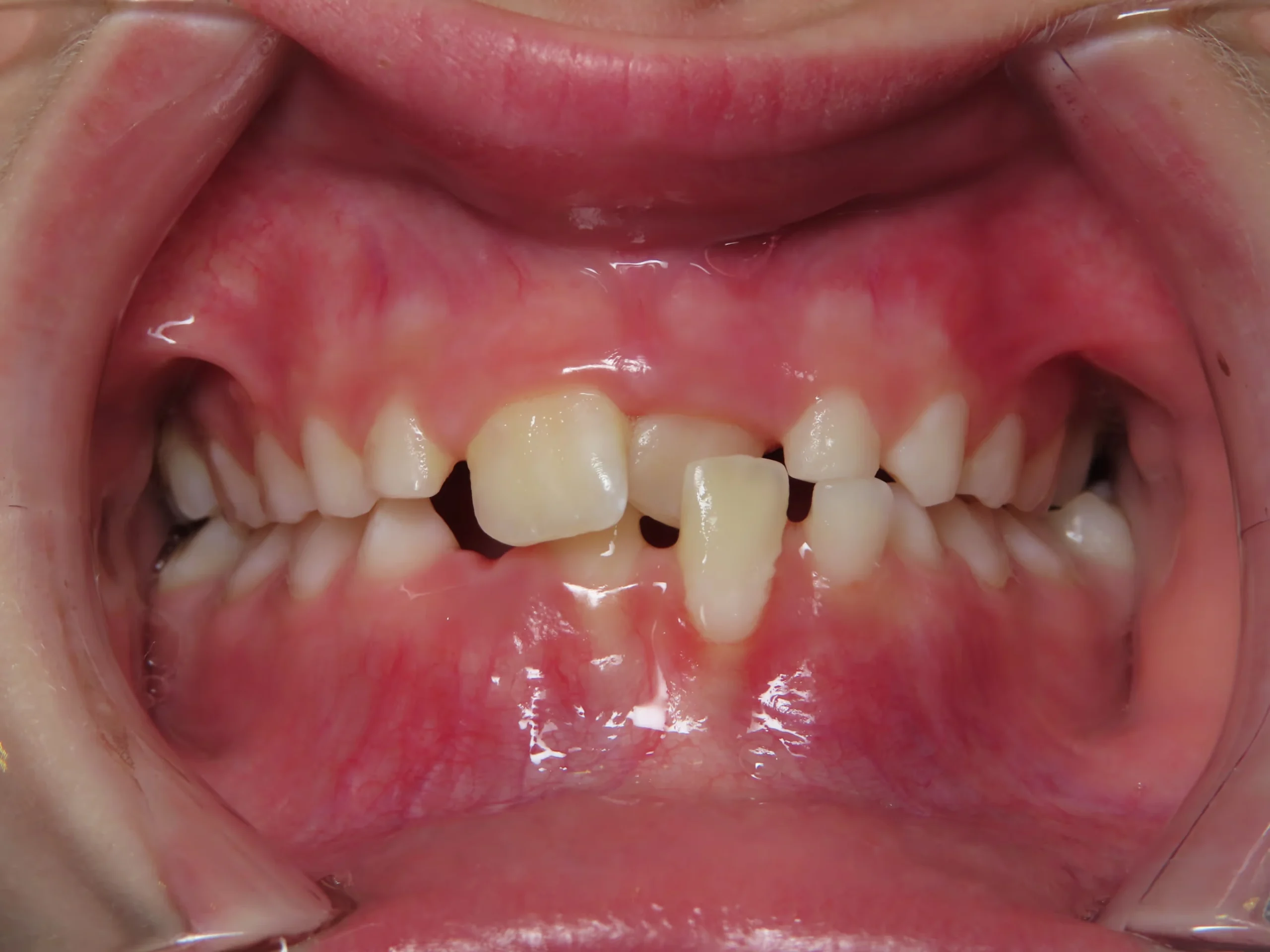
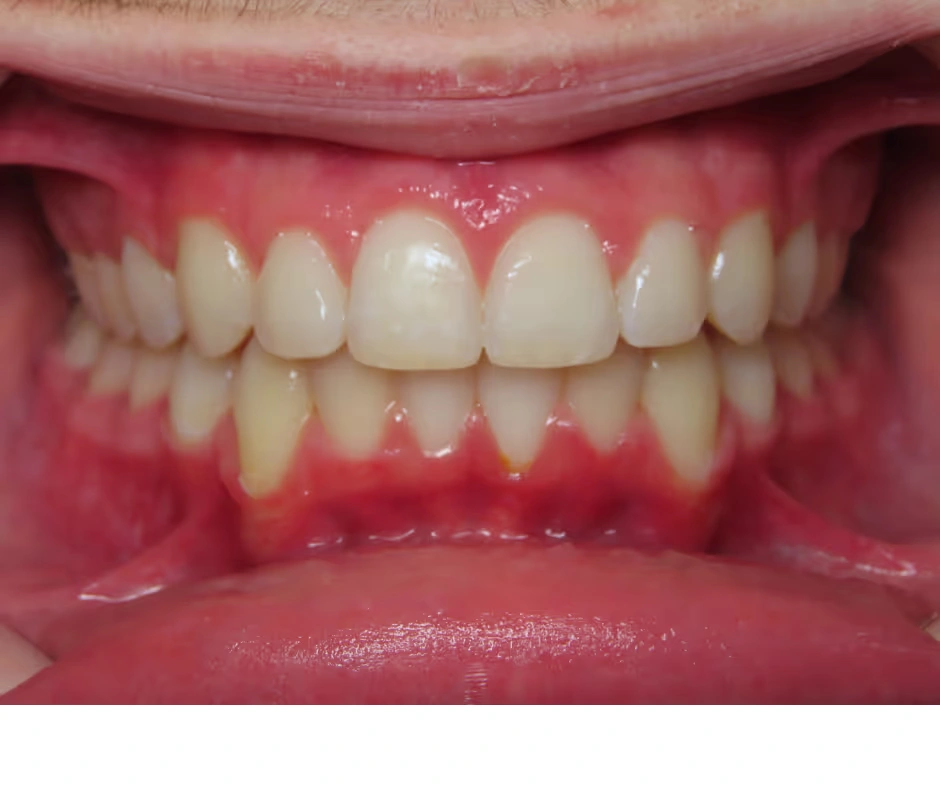
Spacing

We close unwanted gaps between teeth to create a more even, confident smile with proper alignment and bite.

Before Image
After Image

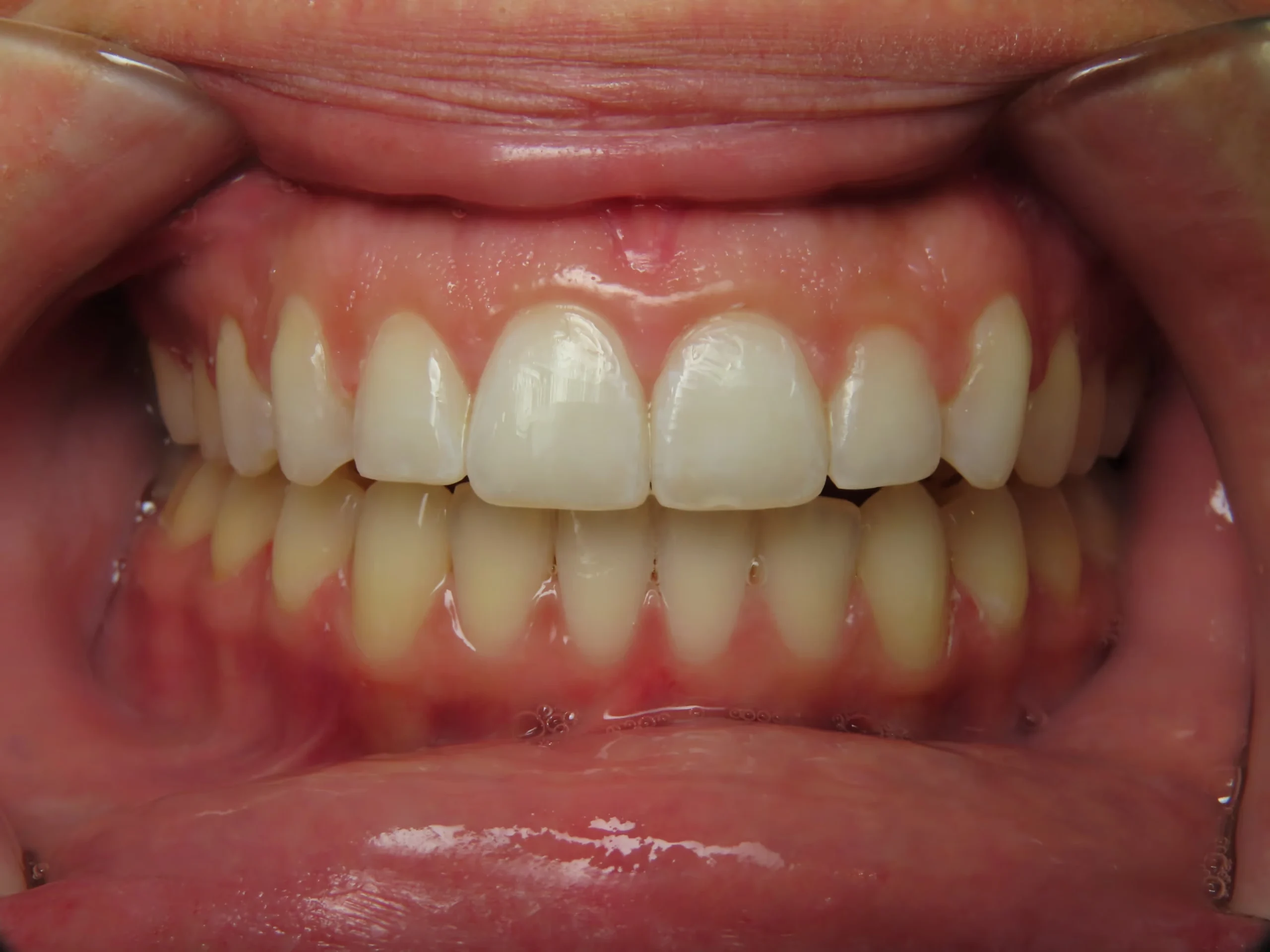
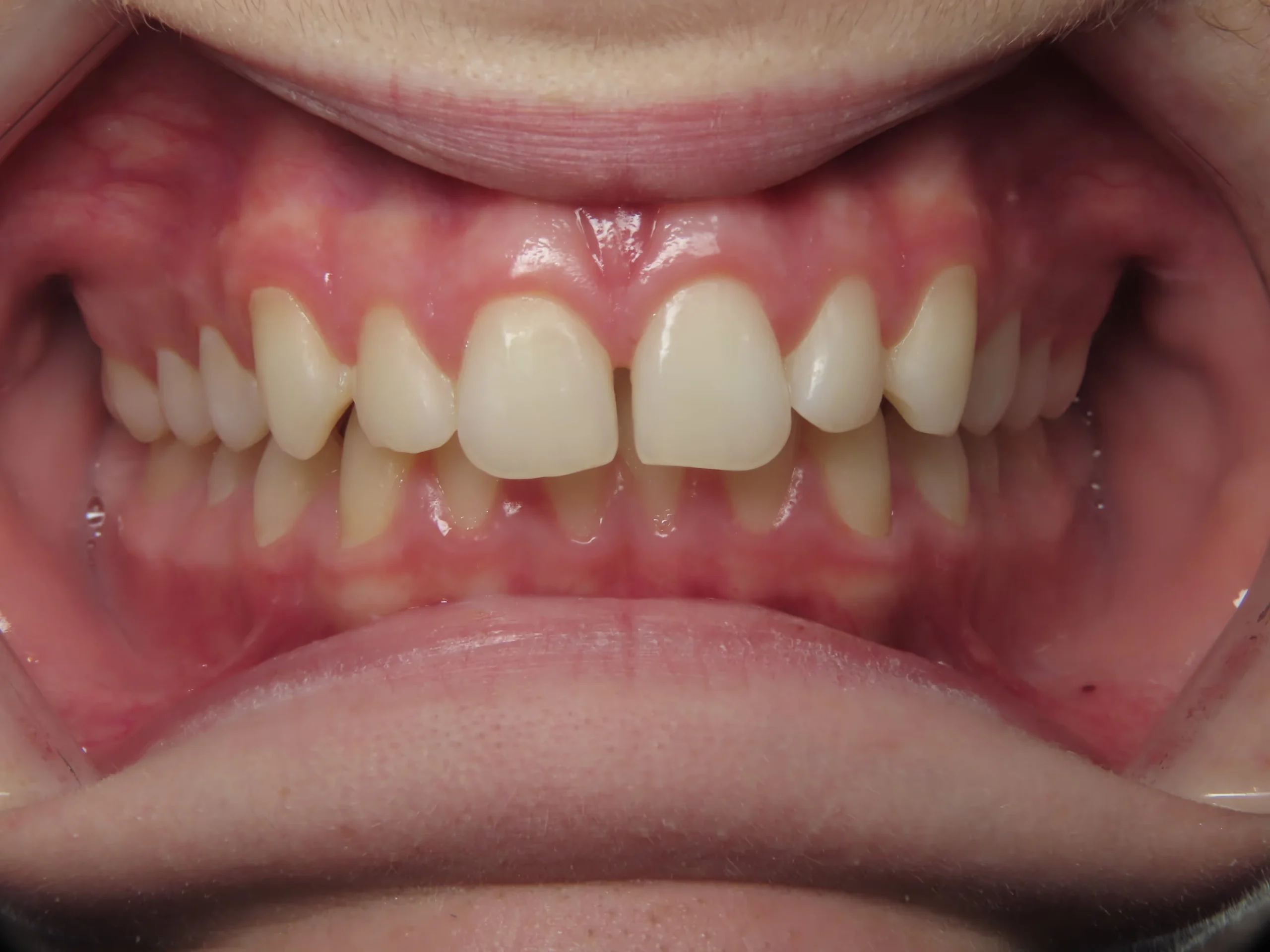
Crossbite

Our treatment corrects misaligned bites by shifting teeth and jaws into proper position, improving both function and facial balance.

Before Image
After Image

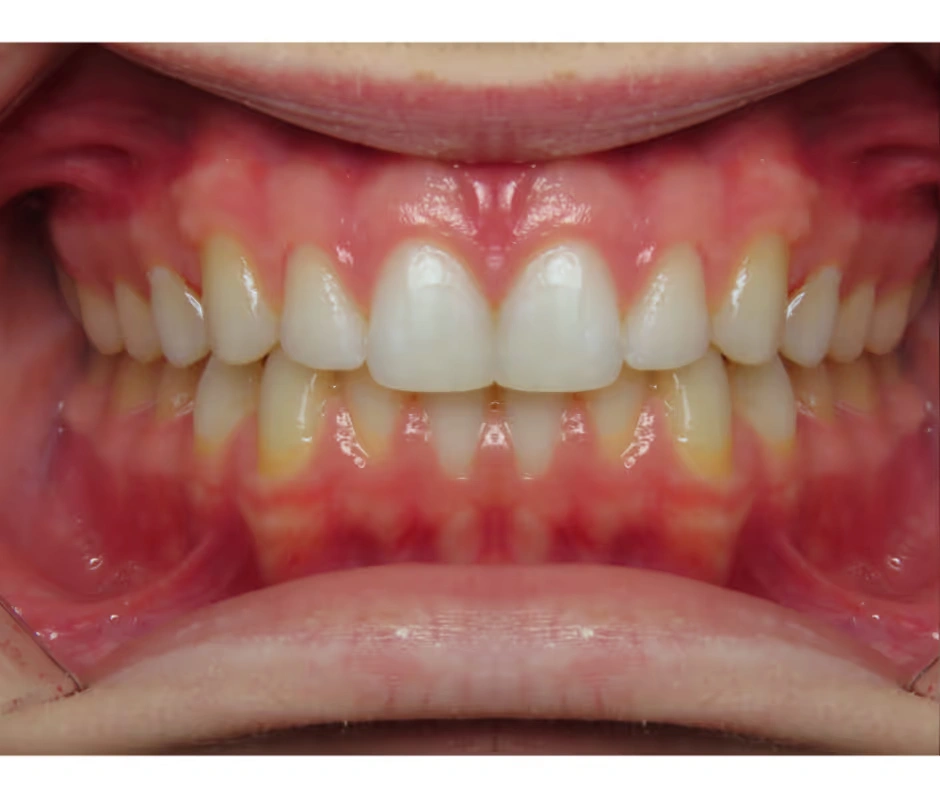
Overjet

We reposition protruding front teeth for a more comfortable bite, better lip support, and a balanced facial profile.

Before Image
After Image

Open Bite

By bringing the teeth into contact, we resolve open bites to restore natural chewing, speech, and aesthetics.

Before Image
After Image

Crowding

We gently guide crowded, overlapping teeth into a straight, well-aligned smile that’s easier to clean and built to last.

See What Patients Are Saying

  • Keri O.

    "Very happy with our experience with Dr. Larrabee and all the staff at Advance Orthodontics. Everyone is friendly and professional. Making and rescheduling appointments is always a breeze. My son’s teeth look great!"

    Keri O.

    Chandler
  • Anais K.

    "This experience has been amazing! I am so happy for my new smile. I will be smiling a little extra from now on and show off this beautiful smile! I am very grateful for Dr. Larrabee and your amazing team. Thank you all so much!"

    Anais K.

    Mesa
  • Justin C.

    "We drive all the way from Biltmore area to see Dr. Larrabee for our 8 year old son’s treatment. We do this because this doctor is the best clinically. Hands down."

    Justin C.

    Queen Creek
  • Rachel B.

    "My daughter had a great experience with her Invisalign treatment. The staff is friendly and professional and made her feel at ease for every appointment. Great experience all around!"

    Rachel B.

    Chandler
  • Brandi D.

    "My daughter got her Invisalign braces off today and the results are amazing! She had a severe underbite at the start, and now they look perfect!"

    Brandi D.

    Mesa
  • Justin M.

    "My daughter’s smile has come a long ways and Advanced Orthodontics has been there every step of the way. They are nice and so sweet here."

    Justin M.

    Queen Creek
  • Karli J.

    "Our family has trusted in Advanced Orthodontics for years now, first for myself and now my daughter!"

    Karli J.

    Mesa
  • Jennifer H.

    "Beautiful offices with state of the art equipment and the staff is very professional, helpful, and friendly! I can’t recommend Advanced Orthodontics and Dr. Larrabee enough!"

    Jennifer H.

    Mesa
  • Deserae R.

    "Thank you so much to Dr. Larrabee for helping my daughter get the perfect smile. The atmosphere is amazing and you can tell it’s a great team."

    Deserae R.

    Mesa
  • Cassie L.

    "The children both had an outstanding experience. We have enjoyed our time with AO - Mesa! Thank you!"

    Cassie L.

    Mesa
  • Jennifer H.

    "We love Dr. Larabee and the whole AO family! Our 5th child is about to start his journey with AO and we couldn’t be happier with the care we have received for all the kids!"

    Jennifer H.

    Queen Creek
  • Kimberlee F.

    "Dr. Larrabee and his team at Advanced Orthodontics are amazing! I can’t speak highly enough of them and Dr. Larrabee’s impeccable work."

    Kimberlee F.

    Queen Creek
  • Gayatri P.

    "The staff is super friendly and on top of everything. Dr Larrabee beautifully fixed my son’s teeth which were growing from all angles. Absolutely loved the whole experience."

    Gayatri P.

    Queen Creek
  • Orlando V.

    "Just finished phase 1 for our daughter. Such an amazing experience and always thorough and kind from the front office to the back."

    Orlando V.

    Chandler
  • Jennifer W. Chandler

    "Dr. Larrabee and his staff took great care of us the entire time. They are very well educated and really took time to make sure we had all our options laid out before us."

    Jennifer W. Chandler

    Chandler
  • Ronald P.

    "Got my kid’s braces here and am super pleased with the results thus far. Up to date modern feel to the space and the staff are very friendly. Overall great place."

    Ronald P.

    Chandler
  • E.K.

    "They give the best care here and work with you on payments . 10/10 recommend. Love how my teeth turned out!"

    E.K.

    Chandler
  • Sarah R.

    "Both my daughter and I have had treatment here. Very different needs and treatment plans but the best customer service, chairside manner, and care for our dream smiles."

    Sarah R.

    Chandler